The Beacon Dental Group is a full service dental clinic offering the highest quality of health care. We emphasize a caring attitude delivered in a safe, tranquil environment. Services are based on the most up-to-date techniques and materials with the goal of long-term oral health and natural esthetic beauty. Services include:
-
Cosmetic Bonding
Cosmetic Dental Bonding is a restorative technique using aesthetic composite material to enhance the appearance of teeth. This is ideal for patients who want only minor corrections in alignment, shape and colour. It is a less invasive procedure than crowns or porcelain veneers and has the advantage of often being reversible. None the less, dramatic, painless and affordable results are possible, often in just one visit. To ensure longevity of bonded teeth, proper maintenance is essential.
-
Before
-
After
-
-
Before
-
After
-
-
Advanced Restorative Dentistry
In the past it was often necessary to compromise on certain restorative procedures; fillings and crowns could be made to look natural or they could be made to last, but not both. Now, thanks to advances in adhesive technology, composite resins and with space-age porcelains, patients no longer have to make that kind of choice. For those people who wish to have the very best that modern dentistry has to offer, satisfying results that last are consistently realized.
-
Before
-
-
After
-
-
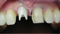
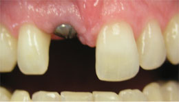
Dental Implants & Prosthetics
Dental Implants are small fixtures that act as artificial tooth roots. They are made of titanium, a metal that is well-accepted by the body, forming a strong, integrated bond with the bone to create a stable foundation. An abutment is then fitted to the top of the implant to create an anchor for the placement of a crown or as a support for a fixed bridge or denture. Implants are strong, healthy, impervious to decay and extremely long lasting. Most Implants, even those first placed in the 1980's, remain healthy and functional to this day. They represent one of the most successful innovations in the history of dentistry.
-
Before
-
-
After
-
-
Professional Whitening & Bleaching
Are you happy with your smile? Most likely, you are not the only one who has started to notice that your smile isn't as quite bright as it used to be. Factors such as aging, drinking coffee, colas, red wine, smoking and certain medications all play a role in the internal and external shade of your teeth. This usually results in a dull and less attractive smile.
Now in use for well over twenty years, tooth whitening has proven to be a very popular and safe way to enhance your smile dramatically, painlessly and at relatively lower cost. Moreover, it can be achieved without harming or changing the teeth's structure. There are several approaches to whitening. Not everyone's needs are identical so it is important to determine and tailor the method that is best for each individual. In order to help you achieve the best whitening potential we offer various tooth whitening options, either a 1 hour in-office Boost whitening or take home trays. These treatments are proven safe, convenient and produce immediate results.
Whitening is often combined with other cosmetic treatments, such as Dental Bonding for even more dramatic results, often achieved in one or two easy appointments. Tooth Whitening is a safe procedure that lightens discolourations of enamel and dentin. There are two systems available for professionally assisted whitening:
1. In-office Whitening: This is a scientifically advanced tooth whitening procedure performed in one 90 minute office visit. It is safe, effective and fast. This approach is ideal for anyone looking for more immediate results. The convenience of this system makes it the perfect choice for the busy individual.
2. Take-home: This system uses a mild solution retained in a custom-fitted tray that is worn over your teeth for a few minutes during the day or overnight. Maximum results generally occur when the process is continued with custom made take-home trays for 10-14 days/nights or longer. It is less costly than in-office whitening but requires more diligence on the part of the patient.
-
Before
-
After
-
-
Porcelain Veneers
Veneers are highly aesthetic restorations which cover the visible surfaces of teeth. They are individually hand crafted of translucent porcelain, custom made to create a look that is completely natural. More then ever, veneers are the subject of great interest due to the considerable demand from patients who want teeth that are whiter, better aligned and enhanced in colour, shape or position. They provide the ultimate in natural looking, beautiful teeth that, if properly cared for, can last a lifetime.
-
Before
-
After
-
-
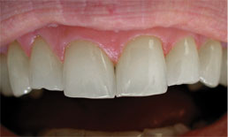
Comprehensive Smile Makeovers
There is no single enhancer to one's appearance than a dazzling smile. Modern techniques and materials, especially implants and the newer porcelains allow us to give patients a natural looking smile with the function and comfort that dentures could never provide. In most cases the transformations are simply breathtaking, and when properly cared for can last for a lifetime.
-
Before
-
After
-
-
Before
-
After
-
-
-
Minor Orthodontics
Orthodontic therapy is a well known and effective way to correct malocclusions and crooked teeth. Occasionally slight discrepancies, gaps or asymmetries may occur which do not require full orthodontic treatment. When indicated, removable retainers or invisible appliances provided in-office are a convenient and reasonably priced alternative to comprehensive orthodontic therapy.
In many cases Aesthetic Bonding can provide a simple, effective and conservative way to provide the finishing touches and restore teeth to their natural looking best. As with other direct bonding treatments, long lasting results may often be obtained in one painless appointment.
-
Before
-
After
-
